La parodontite... cosa è? come trattarla?
Scopri di più sulla malattia della tue gengive e sulle cure possibili
2 min leggere


La parodontite, nota anche come malattia gengivale o piorrea, è una delle principali cause di perdita dei denti negli adulti. In Italia, colpisce circa il 60% della popolazione, con il 10% che sviluppa forme avanzate. Nonostante la crescente consapevolezza, molte persone non ricevono una diagnosi tempestiva o un trattamento adeguato. Questa patologia, spesso indolore nelle fasi iniziali, può passare inosservata fino a quando è troppo tardi per salvare i denti.
Cause della Malattia Parodontale
La principale causa della parodontite è la placca batterica, un film biancastro che si forma quotidianamente sui denti. I batteri presenti nella placca producono tossine che irritano le gengive, causando infiammazione (gengivite). Se non trattata, la gengivite può evolvere in parodontite, una condizione in cui i batteri distruggono progressivamente i tessuti di supporto dei denti, formando tasche gengivali e portando, nel tempo, alla perdita dentale.
Alcuni fattori possono aumentare la suscettibilità alla malattia parodontale:
Scarsa igiene orale
Fumo
Diabete e altre condizioni mediche
Stress
Predisposizione genetica
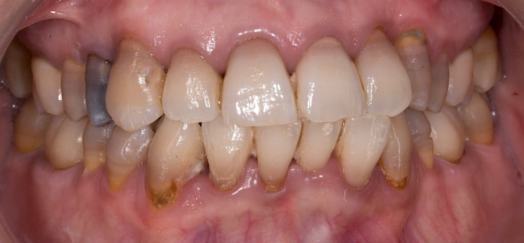
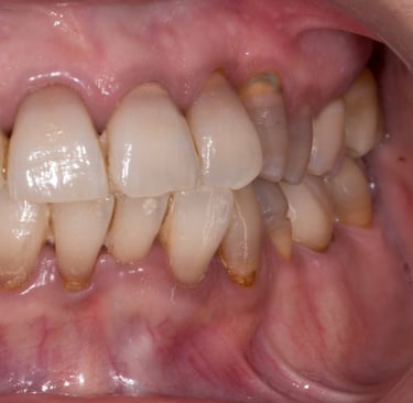
Sintomi della Parodontite
I segni più comuni della malattia gengivale includono:
Sanguinamento gengivale
Gengive gonfie e ritirate
Mobilità dentale
Alito cattivo persistente
Sensibilità dentale
È importante sottolineare che non tutti presentano sintomi evidenti, il che rende ancora più cruciale effettuare controlli periodici dal dentista.
Come Trattare la Parodontite
L'obiettivo del trattamento parodontale è fermare la progressione della malattia, stabilizzare i denti e migliorare la salute gengivale. In alcuni casi, è possibile ricostruire i tessuti danneggiati attraverso procedure rigenerative.Il trattamento si suddivide in diverse fasi:
1. Fase preliminare
Questa fase preliminare, si concentra su due aspetti principali:
Educazione del paziente: Fornire informazioni dettagliate sulla natura della malattia parodontale, le sue cause e le conseguenze se non trattata. Una comunicazione efficace tra medico e paziente è cruciale per motivare quest'ultimo a partecipare attivamente al proprio percorso di cura.
Identificazione e modifica dei fattori di rischio: Analizzare e affrontare elementi che possono aggravare la parodontite, come:
Igiene orale inadeguata: Insegnare tecniche corrette di spazzolamento e uso del filo interdentale per rimuovere efficacemente la placca batterica.
Fumo: Il tabagismo è un fattore di rischio significativo; smettere di fumare migliora notevolmente la salute parodontale .
Diabete non controllato: Mantenere sotto controllo i livelli glicemici è essenziale, poiché il diabete può aumentare la suscettibilità alle infezioni gengivali.
Stress: Gestire lo stress può contribuire a migliorare la risposta del corpo alle infezioni.
2. Trattamento Non Chirurgico
Questa fase iniziale mira a ridurre l'infiammazione e controllare l'infezione attraverso:
Istruzioni per l'igiene orale: è fondamentale imparare le corrette tecniche di spazzolamento e utilizzo del filo interdentale.
Detartrasi e levigatura radicolare: rimozione della placca e del tartaro sopra e sotto il margine gengivale.
Rivalutazione: dopo circa due mesi si controlla la risposta al trattamento per decidere se sono necessari interventi aggiuntivi.
3. Trattamenti Aggiuntivi
Se la malattia è in fase avanzata, potrebbe essere necessario un intervento chirurgico. Le procedure più comuni includono:
Chirurgia parodontale per eliminare le tasche profonde e ripristinare la forma gengivale.
Rigenerazione ossea per ricostruire il tessuto di supporto perduto.
Innesti gengivali per correggere la recessione gengivale.
4. Terapia di Mantenimento
Dopo il trattamento attivo, è essenziale aderire a un programma di mantenimento con controlli regolari personalizzati ogni 3-6 mesi. Questo permette di prevenire recidive e mantenere la salute orale a lungo termine.
La malattia parodontale è una condizione seria che, se trascurata, può portare alla perdita dei denti e avere ripercussioni sulla salute generale. La prevenzione e il trattamento precoce sono fondamentali per evitare danni irreversibili. Se sospetti di avere problemi gengivali, prenota una visita specialistica con un parodontologo per una valutazione approfondita.
